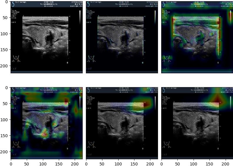
Cancer Classification from Ultrasound Image
Deep Learning Algorithm to Detect Thyroid Cancer
Examples 1
Benign
94.50%
Malignant
5.50%
Examples 2
Benign
4.00%
Malignant
96.00%
Upload and Clear images
Delete all images
Drag & Drop
Drop images here or click to upload
1.jpg
Benign
54.00%
Malignant
46.00%
15762186.jpg
Benign
96.00%
Malignant
4.00%